English
全部
搜索
图片
视频
短视频
地图
资讯
更多
购物
航班
旅游
笔记本
报告不当内容
请选择下列任一选项。
无关
低俗内容
成人
儿童性侵犯
时长
全部
短(小于 5 分钟)
中(5-20 分钟)
长(大于 20 分钟)
日期
全部
过去 24 小时
过去一周
过去一个月
去年
清晰度
全部
低于 360p
360p 或更高
480p 或更高
720p 或更高
1080p 或更高
源
全部
Dailymotion
Vimeo
Metacafe
Hulu
VEVO
Myspace
MTV
CBS
Fox
CNN
MSN
价格
全部
免费
付费
清除筛选条件
安全搜索:
中等
严格
中等(默认)
关闭
筛选器
0:58
YouTube
Osmosis from Elsevier
Clinical Cuts - Chronic obstructive pulmonary disease (COPD)
Chronic obstructive pulmonary disease (COPD) refers to a heterogeneous, usually progressive lung condition that results in airflow obstruction and breathing difficulties. It's often caused by long-term exposure to irritants, such as tobacco smoke. Over time, COPD can lead to irreversible lung damage, making breathing difficult and limiting ...
已浏览 7620 次
1 个月前
短视频
0:16
已浏览 210万 次
Your Super Pump: The Heart🫀 @Smart Doctor 👨⚕️ - - In this 3D animation, we go inside
smart.doctor
0:06
已浏览 5614 次
How Your Heart's Pulmonary Valve Works 🫀 | 13
Heart AI Art
Pulmonary Function Test Results
0:06
How Your Heart's Pulmonary Valve Works 🫀 | 09
YouTube
Heart AI Art
已浏览 1886 次
1 个月前
0:06
How Your Heart's Pulmonary Valve Works 🫀 | 11
YouTube
Heart AI Art
已浏览 8198 次
1 个月前
1:42
What is a Pulmonary Artery Wedge Pressure
YouTube
Mollie Gabel
已浏览 1.1万 次
2024年6月29日
热门视频
1:08
Life-Saving Treatment for Pulmonary Embolism (PE) | DVT Complications Explained
YouTube
Interventional Radiology with
已浏览 1880 次
2 个月之前
0:07
How the Pulmonary Valve Works | 07
YouTube
Heart AI Art
已浏览 1313.5万 次
1 个月前
1:00
Signs and symptoms of Pulmonary embolism
YouTube
MedLecturesMadeEasy
已浏览 1.1万 次
2023年11月19日
Pulmonary Function Test Procedure
0:47
What is Pulmonary Capillary Wedge Pressure?
YouTube
Respiratory Coach
已浏览 1.9万 次
8 个月之前
2:22
Does mucus cause pulmonary fibrosis?
YouTube
Pulmonary Fibrosis Foundatio
已浏览 1831 次
2 个月之前
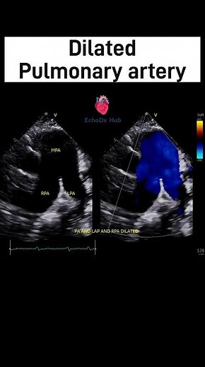
0:08
Pulmonary Artery Dilatation on Echo | Causes and Echocardiographic Clues #2decho #echoeducation
YouTube
EchoDx Hub
已浏览 3508 次
7 个月之前
1:08
Life-Saving Treatment for Pulmonary Embolism (PE) | DVT C
…
已浏览 1880 次
2 个月之前
YouTube
Interventional Radiology with Dr. Anadi Gupta
0:07
How the Pulmonary Valve Works | 07
已浏览 1313.5万 次
1 个月前
YouTube
Heart AI Art
1:00
Signs and symptoms of Pulmonary embolism
已浏览 1.1万 次
2023年11月19日
YouTube
MedLecturesMadeEasy
0:06
How Your Heart's Pulmonary Valve Works 🫀 | 13
已浏览 5614 次
1 个月前
YouTube
Heart AI Art
0:06
How Your Heart's Pulmonary Valve Works 🫀 | 09
已浏览 1886 次
1 个月前
YouTube
Heart AI Art
0:06
How Your Heart's Pulmonary Valve Works 🫀 | 11
已浏览 8198 次
1 个月前
YouTube
Heart AI Art
1:42
What is a Pulmonary Artery Wedge Pressure
已浏览 1.1万 次
2024年6月29日
YouTube
Mollie Gabel
0:47
What is Pulmonary Capillary Wedge Pressure?
已浏览 1.9万 次
8 个月之前
YouTube
Respiratory Coach
2:22
Does mucus cause pulmonary fibrosis?
已浏览 1831 次
2 个月之前
YouTube
Pulmonary Fibrosis Foundation
0:08
Pulmonary Artery Dilatation on Echo | Causes and Echocardiographic
…
已浏览 3508 次
7 个月之前
YouTube
EchoDx Hub
1:22
Treating Acute Pulmonary Edema: A Step-by-Step Guide #shorts
已浏览 1612 次
4 个月之前
YouTube
IM MEDICAL
0:16
Your Super Pump: The Heart🫀 @Smart Doctor 👨⚕️ - - In this 3D a
…
已浏览 210万 次
1 周前
TikTok
smart.doctor
5:00
Dr Tristan Anaesth Tutorials on TikTok
已浏览 12.1万 次
4 个月之前
TikTok
drtristantutorials
0:05
ilse on TikTok
已浏览 11.9万 次
4 个月之前
TikTok
ilsesalinash
3:55
Understanding Chest Pain: Pulmonary Embolism vs. Acid Ref
…
已浏览 4.6万 次
6 个月之前
TikTok
conciergemedicalclinic
3:30
High Altitude Pulmonary Edema Risks at Muktinath
已浏览 4万 次
5 个月之前
TikTok
theexpeditiondoc
3:10
Do yourself a favour🐹🫱🏽 #fyp #zimtiktokers🇿🇼🇿🇼🇿🇼 #creatorsearchinsig
…
已浏览 4.2万 次
2 个月之前
TikTok
thezimbonurse
1:12
Understanding Pulmonary Embolism and Heart Attack Risks
已浏览 2.1万 次
5 个月之前
TikTok
medicaltourismkh
0:21
Pulmonary Embolism Diagnosis: CTA vs VQ Scan
已浏览 1.3万 次
5 个月之前
TikTok
im.medical
观看更多视频
更多类似内容
短视频
0:58
Clinical Cuts - Chronic obstructive pulmonary dise
…
已浏览 7620 次
1 个月前
YouTube
Osmosis from Elsevier
1:08
Life-Saving Treatment for Pulmonary Embolism (PE)
…
已浏览 1880 次
2 个月之前
YouTube
Interventional Radiology with Dr. Ana…
0:07
How the Pulmonary Valve Works | 07
已浏览 1313.5万 次
1 个月前
YouTube
Heart AI Art
1:00
Signs and symptoms of Pulmonary embolism
已浏览 1.1万 次
2023年11月19日
YouTube
MedLecturesMadeEasy
0:16
Your Super Pump: The Heart🫀 @Smart Doctor 👨⚕️ - - In thi
…
已浏览 210万 次
1 周前
TikTok
smart.doctor
0:06
How Your Heart's Pulmonary Valve Works 🫀 | 13
已浏览 5614 次
1 个月前
YouTube
Heart AI Art
0:06
How Your Heart's Pulmonary Valve Works 🫀 | 09
已浏览 1886 次
1 个月前
YouTube
Heart AI Art
0:06
How Your Heart's Pulmonary Valve Works 🫀 | 11
已浏览 8198 次
1 个月前
YouTube
Heart AI Art
1:42
What is a Pulmonary Artery Wedge Pressure
已浏览 1.1万 次
2024年6月29日
YouTube
Mollie Gabel
0:47
What is Pulmonary Capillary Wedge Pressure?
已浏览 1.9万 次
8 个月之前
YouTube
Respiratory Coach
2:22
Does mucus cause pulmonary fibrosis?
已浏览 1831 次
2 个月之前
YouTube
Pulmonary Fibrosis Foundation
0:08
Pulmonary Artery Dilatation on Echo | Causes and Echo
…
已浏览 3508 次
7 个月之前
YouTube
EchoDx Hub
1:22
Treating Acute Pulmonary Edema: A Step-by-Step Gui
…
已浏览 1612 次
4 个月之前
YouTube
IM MEDICAL
5:00
Dr Tristan Anaesth Tutorials on TikTok
已浏览 12.1万 次
4 个月之前
TikTok
drtristantutorials
0:05
ilse on TikTok
已浏览 11.9万 次
4 个月之前
TikTok
ilsesalinash
3:55
Understanding Chest Pain: Pulmonary Embolism vs. A
…
已浏览 4.6万 次
6 个月之前
TikTok
conciergemedicalclinic
3:30
High Altitude Pulmonary Edema Risks at Muktinath
已浏览 4万 次
5 个月之前
TikTok
theexpeditiondoc
3:10
Do yourself a favour🐹🫱🏽 #fyp #zimtiktokers🇿🇼🇿🇼🇿🇼 #creatorsear
…
已浏览 4.2万 次
2 个月之前
TikTok
thezimbonurse
1:12
Understanding Pulmonary Embolism and Heart Attac
…
已浏览 2.1万 次
5 个月之前
TikTok
medicaltourismkh
0:21
Pulmonary Embolism Diagnosis: CTA vs VQ Scan
已浏览 1.3万 次
5 个月之前
TikTok
im.medical
查看全部
反馈